562-219-3454
9212 Lakewood Blvd.
Downey
,
CA
90240
Welcome
Our Dentists
Services
Preventive Dentistry
Dental Cleanings
Bruxism Appliances
Diagnodent
TMJ Treatment
Oral Cancer Screenings
Cosmetic Dentistry
Professional Teeth Whitening
Cosmetic Teeth Bonding
Cosmetic Porcelain Veneers
Invisalign®
Clearcorrect®
Dental Implants
All On 4 Dental Implants
Dental Implant Restorations
Dental Implant Placement
Implant-Retained Dentures
More About Dental Implants
Restorative Dentistry
Dental Fillings
Dental Crowns
Root Canal Therapy
Tooth Extractions
Esthetic Dentistry
The Power of a Smile
What is a Smile Makeover
Anti-aging Dentistry
Elements of Smile Design
Advanced Dentistry
Biocompatible Dentistry
Occlusal Disease
Full Mouth Reconstruction
Dental Implants
More About Dental Implants
3D Imaging
Technology
3D X-rays
Before & After
New Patients
Testimonials
Office Tour
Special Offers
New Patient Special
Free Information Guides
Contact Us
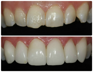
2-photos-close-ups
Posted
March 13, 2017
by
Dr. Pasha Hakimzadeh
Obtain A
Beautiful Smile!
Preventive Dentistry
Cosmetic Dentistry
Restorative Dentistry